Remidio AIM
Beneficios clave del Remidio AIM:
- Imagen digital en verdadero color idéntica a la vista por el ocular de la lámpara de hendidura
- Compatibilidad universal con cualquier lámpara de hendidura moderna (≥ 3 aumentos)
- Instalación sencilla en tres pasos: desmontar cabeza binocular → montar AIM → reponer cabeza binocular
- Conectividad con pantalla externa para mejor visualización y educación al paciente
- Integración con Remidio Connect: gestión en la nube de imágenes y datos clínicos, acceso remoto, generación de informes
- Ajuste de temperatura de color e imagen para adaptar a fuentes LED o halógenas
Descripción general del Remidio AIM (Módulo Anterior de Imagen)
El AIM R20 (Anterior Imaging Module) de Remidio transforma cualquier lámpara de hendidura moderna en una herramienta digital avanzada para captura de imágenes clínicas. Diseñado para reflejar en pantalla exactamente lo que se observa a través del ocular, permite compartir la vista con el paciente, mejorar la educación y apoyar el diagnóstico visual. Su diseño universal facilita la integración: solo tres pasos para su instalación, sin necesidad de reemplazar equipos completos. Compatible con lámparas que tengan al menos tres niveles de magnificación.
AIM incluye el ecosistema Remidio Connect, una plataforma en la nube que permite capturar, almacenar, revisar y compartir imágenes clínicas y datos del paciente en tiempo real. También posibilita generar informes con imágenes y diagnósticos, así como acceso remoto desde múltiples dispositivos o integración con sistemas EMR/PACS (con soporte DICOM/HAL7 según región)
Además, su software inteligente ofrece ajustes de imagen personalizables para igualar la temperatura de color del ocular al de cámaras smartphone (LED frío, cálido o halógeno), y permite controlar enfoque manual y exposición para capturar imágenes clínicas fieles a la observación directa
Beneficios del AIM
Lo que ves es lo que obtienes: Lo que ve a través de los binoculares se refleja exactamente en la pantalla. Conéctelos a un monitor externo para una vista más amplia y facilitar la educación del paciente.
Diseño simple y universal: Se necesitan solo tres pasos para conectar el AIM a la lámpara de hendidura. Desmontar el cabezal binocular, montar el AIM y volver a colocarlo. El AIM funciona con cualquier lámpara de hendidura con más de 3 aumentos.
Accede, revisa o comparte imágenes en tiempo real: AIM se integra con Remidio Connect, nuestro sistema de gestión de datos de pacientes en la nube. Agregue el examen del paciente a la aplicación web y acceda a las imágenes desde cualquier lugar. También puede generar informes rápidos para los pacientes con las imágenes y el diagnóstico.
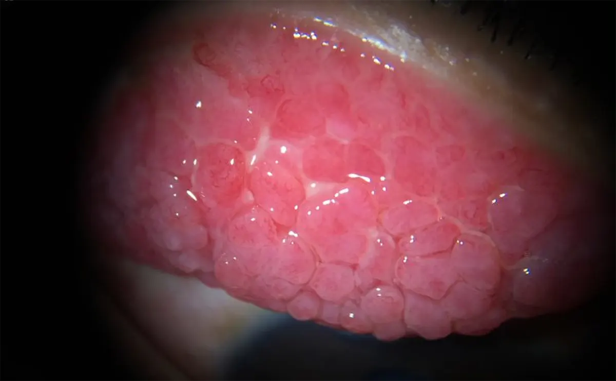
Imágenes capturadas con AIM
Estas son las imágenes capturadas en el Módulo de Imágenes Anteriores que ayudan a los médicos a realizar diagnósticos rápidos.








| Peso | 0.900 kg |
|---|---|
| Ajuste focal |
Manual |
| Resolución de la cámara |
Según el iPhone. |
